Creşterea alarmantă a numărului de cazuri de cancer pulmonar la nefumători, legată de prezenţa unui gaz radioactiv din aer
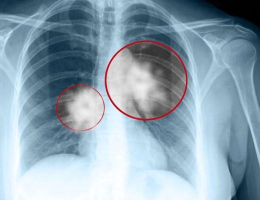
Cancerul pulmonar este una dintre cele mai întâlnite cauze ale deceselor cauzate de cancer, cu un procent de 18,2%. Deşi acest cancer este considerat în mod tradiţional ca fiind o ”boală a fumătorilor”, un procent surprinzător de 15-20% din cancerele pulmonare nou diagnosticate apar la persoane care nu au fumat niciodată, multe dintre acestea având între 40 şi 50 de ani.
Specialişti din Statele Unite spun că această creştere îngrijorătoare a numărului de cazuri de cancer pulmonar la nefumători este probabil legată de expunerile mari şi pe termen lung la gazul radon.
Acest gaz incolor şi inodor este emis prin descompunerea materialelor radioactive care se găsesc în mod natural în solul din întreaga lume.
Radonul poate intra în case prin crăpăturile din podele, pereţi şi fundaţie. Când se acumulează în interior, radonul poate deveni o problemă de sănătate serioasă. Inhalarea acestuia poate creşte riscul de cancer pulmonar.
Gazul poate să persiste şi să se acumuleze în casele şi în plămânii oamenilor în mod silenţios, în absenţa unui test de depistare a acestuia.
Agenţia Internaţională pentru Studiul Cancerului (IARC) clasifică radonul ca fiind principalul agent de mediu cancerigen pentru populaţie.
La rândul său, Organizaţia Mondială a Sănătăţii numeşte radonul ca fiind principala cauză de cancer pulmonar în rândul nefumătorilor, respectiv a 2-a cauză de risc pentru fumatori, şi estimează că provoacă între 3% şi 14% din toate cancerele pulmonare dintr-o ţară, în funcţie de nivelul mediu naţional de radon şi de prevalenţa fumatului. Ca atare, combinaţia dintre expunerea la radon şi fumat este extrem de toxică pentru plămâni.
În Statele Unite, Agenţia pentru Protecţia Mediului din Sattele Unite (EPA) recomandă testarea periodică a radonului şi măsuri corective pentru a reduce nivelurile de expunere în locuinţe.
Un nou sondaj realizat pentru Centrul de cancer al universităţii de stat din Ohio (OSUCCC) şi publicat vineri arată că un procent extrem de mare (75%) dintre americani nu şi-au testat locuinţele pentru radon, iar peste jumătate (55%) nu sunt îngrijoraţi de expunerea la radon în locuinţele, comunitatea sau şcolile lor.
”Orice persoană poate dezvolta cancer pulmonar şi ar trebui să fim conştienţi şi preocupaţi de expunerea la radon, deoarece se crede că este una dintre principalele cauze ale cancerului pulmonar la cei care nu fumează niciodată – şi există ceva ce putem face pentru a ne reduce riscul”, a declarat dr. David Carbone, specialist în oncologia toracică şi director al Centrului de oncologie toracică OSUCCC-James.
Există teste relativ simple pentru a măsura radonul din casă şi acţiuni pentru a reduce expunerea la radon, spun specialiştii.
Acestea includ instalarea în afara casei a unui sistem de remediere a radonului care aspiră aerul din subsol, unde gazul persistă de obicei. Creşterea fluxului de aer prin deschiderea ferestrelor şi utilizarea de ventilatoare/evacuare în locuinţă, precum şi etanşarea fisurilor din podele, pereţi şi fundaţie sunt, de asemenea, importante.
Cancerul pulmonar este în creştere la tinerii nefumători
Factorul de risc nr. 1 pentru cancerul pulmonar este fumatul pe termen lung; cu toate acestea, ratele de cancer pulmonar în rândul nefumătorilor continuă să crească.
Simptomele bolii sunt aceleaşi, indiferent dacă persoana a fumat sau nu: în general nu se simte bine sau se simte obosită tot timpul, tuse frecventă, dureri în piept, respiraţie şuierătoare, dificultăţi de respiraţie sau tuse cu sânge.
Aceste simptome apar şi în cazul altor boli, dar specialiştii remarcă faptul că orice persoană – indiferent de vârstă – care are un simptom persistent care nu se rezolvă în ciuda tratamentului iniţial ar trebui să insiste să facă un control medical.
În prezent, screeningul pentru cancerul pulmonar este disponibil în Statele Unite doar pentru persoanele cu cel mai mare risc de îmbolnăvire – adică persoanele cu vârste cuprinse între 50 şi 80 de ani care au, de asemenea, un istoric de 20 de pachete de ţigări (un pachet de ţigări pe zi timp de 20 de ani), sunt fumători actuali sau cineva care a renunţat la fumat în ultimii 15 ani.
Dacă este depistat în stadii incipiente, rata de vindecare a cancerului pulmonar poate fi de 90-95%.
Cu toate acestea, cea mai mare parte a cazurilor nu sunt depistate decât atunci când boala s-a răspândit în tot plămânul sau în alte părţi ale corpului (metastaze), moment în care tratamentele nu sunt la fel de eficiente.
Este important ca orice persoană considerată la risc de cancer pulmonar să se supună la timp unui screening şi ca persoanele care ar putea fi expuse unui risc crescut din cauza fumatului pasiv, a radonului sau a expunerii profesionale (cum ar fi pompierii) să discute cu medicii lor despre efectuarea de teste.
”Sănătatea dumneavoastră şi sănătatea familiei dumneavoastră sunt cele mai importante lucruri pe care le aveţi. Insistaţi cu adevărat pentru a vă face cunoscute preocupările dacă simptomele nu se rezolvă, chiar dacă nu vă încadraţi în ‘imaginea’ tipică a cancerului pulmonar. Ar putea să vă salveze cu adevărat viaţa”, recomandă medicul.
Radonul cauzează peste 20.000 de decese din cauza cancerului pulmonar în fiecare an în Statele Unite. Cu toate acestea, un nou sondaj realizat de OSUCCC arată că doar unul din patru americani şi-a testat locuinţa pentru acest gaz nociv.
Obligativitatea testării radonului în locuinţe, şcoli şi locuri de muncă
Experţii remarcă faptul că a avea niveluri ridicate de expunere la radon la şcoală sau la locul de muncă reprezintă un pericol pentru sănătate la fel de mare ca şi expunerea la un nivel ridicat în subsolul caselor.
Ei susţin cu tărie o potenţială legislaţie care să impună testarea radonului în şcoli, la locurile de muncă şi în timpul vânzărilor de locuinţe pentru a contribui la reducerea riscului pentru comunitate.
Efectele radonului asupra plămânilor sunt cumulative şi pot fi întârziate cu zeci de ani.
”Astfel, copiii dvs. care se joacă în subsol sau merg la şcoală astăzi, expuşi la niveluri necunoscute de radon, ar putea fi expuşi riscului de a dezvolta cancer pulmonar peste 10, 20, 30 de ani”, a spus medicul. ”Şi pentru că gazul este total incolor şi inodor, nu aţi avea nicio idee că sunteţi expuşi dacă nu aţi cunoaşte importanţa testării proactive”.
Cele mai expuse zone la radon din România
În multe ţări, inclusiv în Europa şi în România există ghiduri şi reglementări pentru măsurarea şi controlul nivelurilor de radon în clădiri, cu scopul de a proteja sănătatea publică.
Potrivit evaluării europene, România se situează printre primele poziţii în Europa cu privire la valoarea medie raportată pentru concentraţiile de radon măsurate în aerul interior (Cinelli et al., 2019), din perspectiva riscului de radon în clădiri.
Prin Directiva 59 Euratom a Comisiei Europene din 2013, România, împreună cu toate statele membre ale Uniunii Europene, are obligaţia de a monitoriza şi de a raporta nivelurile de radioactivitate, şi implicit de a lua o serie de măsuri de protecţie împotriva expunerii la radonul din interiorul locuinţelor şi al locurilor de muncă, prin Metodologia pentru determinarea concentraţiei de radon în aerul din interiorul clădirilor şi de la locurile de muncă, din 27 iulie 2023.
Universitatea Babeş-Bolyai (UBB), cu rezultate ştiinţifice solide în domeniu, bazate pe o experienţă de peste 30 de ani de cercetare şi recunoscute de către CNCAN (Comisia Naţională pentru Controlul Activităţilor Nucleare), face măsurători ale radonului.
Cercetătorii UBB au tras un semnal de alarmă asupra riscului crescut în România
Echipa de la UBB cercetează efectele radonului de mai bine de 20 de ani şi spune că a ridicat numeroase semnale de alarmă, mai ales în ultimii ani, legate de nivelul crescut de radon din clădirile publice cum sunt grădiniţele şi şcolile.
Potrivit specialiştilor clujeni, valori crescute de radon, gaz radioactiv care produce cancer pulmonar şi leucemie, apar în mai multe judeţe din ţară. Harta realizată la UBB a fost încărcată şi pe Atlasul European de Radon.
În România, 16 judeţe înregistrau niveluri de concentraţie ale radonului care depăşeau pragul admis. Aceste judeţe sunt: Alba, Arad, Bihor, Bistriţa-Năsăud, Braşov, Caraş-Severin, Cluj, Covasna, Harghita, Hunedoara, Maramureş, Mureş, Sibiu, Sălaj, Satu Mare şi Timiş.
Media aritmetică a concentraţiei de radon în aceste zone este de aproape 3 ori mai mare decât media naţională.
Transilvania este regiunea cea mai expusă la creşteri ale nivelului de radon din aer, dar şi marile centre urbane, cum ar fi: Bucureşti, Iaşi, Timişoara şi Constanţa, sunt considerate zone cu un risc ridicat.

Nivelul de radon recomandat de Organizaţia Mondială a Sănătăţii (OMS) pentru diminuarea potenţialelor efecte dăunătoare este de 100 Bq/ m3 (Bequerel este o unitate de măsură a radioactivităţii), în timp ce nivelul mediu de referinţă stabilit la nivel naţional este de 300 Bq/m3.
Potrivit Agenţiei Internaţionale de Studiu al Cancerului fiecare 100 de Bq/ m3 în plus, creşte riscul de cancer pulmonar cu 16%.
Aerul exterior are în general niveluri de cca. 0,4 Bq/m³, în timp ce nivelul mediu de radon din interiorul caselor este estimat la cca. 1,3 Bq/m³. Se recomandă ca nivelurile de radon din interior să nu fie mai mari decât cele din aerul de afară.
Media europeană este de 98 Bq(Becquerel)/m³; la nivelul solului, media din România, din judeţele menţionate, dar şi din zonele cu exploatări miniere ar fi de 176 Bq /m³, iar în 11% dintre localităţile unde s-au făcut teste la nivelul solului nivelul ar fi peste 300 Bq/m³ ceea ce plasează ţara noastră la un nivel de risc ridicat şi foarte ridicat.
Asociaţia Europeană a Radonului (ERA), creată cu scopul de a servi interesele comunităţii europene a radonului şi de a contribui la reducerea poverii pe care o reprezintă expunerea la radon pentru sănătate în Europa, organizează la Viena, între 14 şi 19 aprilie, conferinţa Uniunii Europene de Geoştiinţe (EGU 2024), cu tema: Radioactivitatea în mediu: oportunităţi pentru geoştiinţe şi implicaţii pentru sănătatea umană.
news.ro

