Skip to content
11 mai 2026
Ultima oră:
  • CEA MAI BUNĂ DIMINEAȚA – 11 mai 2026
  • Robotică și Inginerie Medicală pe lista noilor specializări, la UPET
  • Eurovision 2026 a început la Viena. România intră în concurs cu Alexandra Căpitănescu
  • Avalanșă de mari dimensiuni la Bâlea Lac. Specialiștii avertizează asupra instabilității accentuate a zăpezii
  • E scris în stele – luni, 11 mai 2026
Stiri din judetul Hunedoara

  • ACTUALITATE
  • POLITICĂ
  • ADMINISTRAȚIE
  • STIRI INFO HD
  • EMISIUNI INFO HD
    • CEA MAI BUNĂ DIMINEAȚĂ
    • IMAGINAR
    • ACTUALITATEA HUNEDOREANĂ
    • ÎN LUMINA ADEVĂRULUI
    • REPLICA TA CU DRAGOS PASCUTA
    • SPUNE CE CREZI
    • HUNEDOARA ARE VALOARE
    • CULINAR SHOW LA INFO HD
    • ARHIVELE MEMORIEI
    • VESELIȚI-VĂ CU NOI
    • SĂPTĂMÂNA ASTRALĂ
    • E SCRIS IN STELE
    • LA ÎNCEPUT A FOST CUVÂNTUL
    • FEȚELE MEDICINEI
  • REPORTAJ
  • EDITORIALE
  • ANUNȚURI
    • ANGAJĂRI
    • VÂNZĂRI
    • ÎNCHIRIERI
    • PIERDERI
ACTUALITATESTIRI INFO HD 1

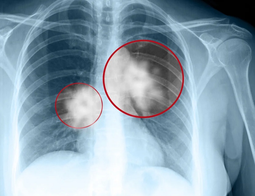
INCIDENȚA CANCERULUI PULMONAR ÎN JUDEȚ

20 octombrie 2023 Petru Meszaros

Județul Hunedoara ocupă primul loc în zona de Vest a țării

  • SPECTACOLUL ANIVERSAR „SARGEȚIA-25”
  • BURDUJA VREA EXPLOATAREA CUARȚULUI ÎN URICANI
Share This Post:

Ar putea să-ți placă și

Reguli stricte pentru funcționarea cimitirelor din Petroșani

21 noiembrie 2018 Monika Baciu

E scris în stele – sâmbătă, 6 decembrie 2025

5 decembrie 2025 Redacția Replica

PARTEA TRISTĂ A SĂRBĂTORII: 1 Decembrie și patriotismul de grotă

1 decembrie 2020 Volodia Macovei

Stai conectat la ultimele știri cu un simplu LIKE:

Loading...

Site administrat de HD MEDIAPRESS STUDIO SRL, RO32978972, înregistrat la Reg. Com. sub nr. J20/294/2014

INFO HD TV LIVE

Campus Fest revine la Urban by Werk

Concert „Cargo” la Urban by Werk

Recom SID ANGAJEAZĂ!

OCAZIE UNICĂ PENTRU BUCĂTARI

ESENȚA ÎN SĂNĂTATE – hclinic.ro

Linkuri utile:

I.S.U. Hunedoara

I.P.J. Hunedoara

Spitalul Județean Deva

Casa Județeană de Pensii

Casa Județeană de Asigurări de Sănătate

Locuri de muncă Deva

Arhiva replicahd.ro

arhiva replicahd
Accesati aici arhiva replicahd

Contact

  • Deva | Hunedoara | Romania
  • Telefon: (+40) 254 213 222
  • Telefon TV INFO HD:
  • (+40) 354.410.434
  • Email: infohd20@gmail.com
  • Website: www.replicahd.ro

Copyright © REPLICA & INFO HD TV. Toate drepturile rezervate. Interzisă preluarea de conținut fără specificarea sursei.