Skip to content
24 aprilie 2026
Ultima oră:
  • Cum a reușit județul să prăbușească numărul cazurilor noi de tuberculoză în ultimul an
  • E scris în stele – vineri, 24 aprilie 2026
  • Doi bărbați din Hunedoara vizați de polițiști într-o singură zi: unul reținut pentru furt, altul încarcerat
  • Criminalitatea informatică, în creștere în județul Hunedoara. Avertisment din partea polițiștilor
  • Controale în lanț la firmele de deșeuri din județul Hunedoara
Stiri din judetul Hunedoara

  • ACTUALITATE
  • POLITICĂ
  • ADMINISTRAȚIE
  • STIRI INFO HD
  • EMISIUNI INFO HD
    • CEA MAI BUNĂ DIMINEAȚĂ
    • IMAGINAR
    • ACTUALITATEA HUNEDOREANĂ
    • ÎN LUMINA ADEVĂRULUI
    • REPLICA TA CU DRAGOS PASCUTA
    • SPUNE CE CREZI
    • HUNEDOARA ARE VALOARE
    • CULINAR SHOW LA INFO HD
    • ARHIVELE MEMORIEI
    • VESELIȚI-VĂ CU NOI
    • SĂPTĂMÂNA ASTRALĂ
    • E SCRIS IN STELE
    • LA ÎNCEPUT A FOST CUVÂNTUL
    • FEȚELE MEDICINEI
  • REPORTAJ
  • EDITORIALE
  • ANUNȚURI
    • ANGAJĂRI
    • VÂNZĂRI
    • ÎNCHIRIERI
    • PIERDERI
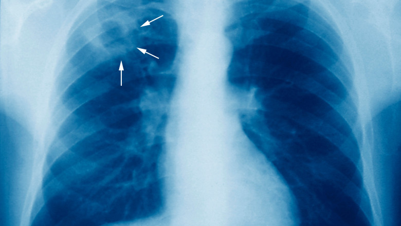
Cum a reușit județul să prăbușească numărul cazurilor noi de tuberculoză în ultimul an
ACTUALITATECOMUNITATESĂNĂTATE

Cum a reușit județul să prăbușească numărul cazurilor noi de tuberculoză în ultimul an

24 aprilie 2026 Monika Baciu
E scris în stele – vineri, 24 aprilie 2026
ACTUALITATEHOROSCOP

E scris în stele – vineri, 24 aprilie 2026

23 aprilie 2026 Redacția Replica
Doi bărbați din Hunedoara vizați de polițiști într-o singură zi: unul reținut pentru furt, altul încarcerat
ACTUALITATECOMUNITATEINFRACȚIUNI

Doi bărbați din Hunedoara vizați de polițiști într-o singură zi: unul reținut pentru furt, altul încarcerat

23 aprilie 2026 Redacția Replica
Criminalitatea informatică, în creștere în județul Hunedoara. Avertisment din partea polițiștilor
ACTUALITATECOMUNITATE

Criminalitatea informatică, în creștere în județul Hunedoara. Avertisment din partea polițiștilor

23 aprilie 2026 Redacția Replica
Controale în lanț la firmele de deșeuri din județul Hunedoara
ACTUALITATECOMUNITATEINFRACȚIUNI

Controale în lanț la firmele de deșeuri din județul Hunedoara

23 aprilie 2026 Redacția Replica
3, 2, 1… START!
ACTUALITATESTIRI INFO HD 1

3, 2, 1… START!

23 aprilie 2026 Petru Meszaros
EXCELENȚA DEVINE TRADIȚIE LA DEVA
ACTUALITATESTIRI INFO HD 1

EXCELENȚA DEVINE TRADIȚIE LA DEVA

23 aprilie 2026 Petru Meszaros
INVESTIȚIE HUNEDOREANĂ
ACTUALITATESTIRI INFO HD 1

INVESTIȚIE HUNEDOREANĂ

23 aprilie 2026 Petru Meszaros
TERMEN PRELUNGIT
ACTUALITATESTIRI INFO HD 1

TERMEN PRELUNGIT

23 aprilie 2026 Petru Meszaros
GALA „NADIA 10 – PERFECŢIUNEA INSPIRĂ”
ACTUALITATESTIRI INFO HD 1

GALA „NADIA 10 – PERFECŢIUNEA INSPIRĂ”

23 aprilie 2026 Petru Meszaros
Sprijin pentru femeile din afaceri: programul „Femeia antreprenor” revine cu finanţări de 200.000 de lei
ACTUALITATEECONOMIE

Sprijin pentru femeile din afaceri: programul „Femeia antreprenor” revine cu finanţări de 200.000 de lei

23 aprilie 2026 Mirela Popa
Sandra Izbașa, Cătălina Ponor și Nicolae Forminte vor avea busturi la Deva
ACTUALITATECOMUNITATESPORT

Sandra Izbașa, Cătălina Ponor și Nicolae Forminte vor avea busturi la Deva

23 aprilie 2026 Mirela Popa
Astăzi, în calendarul ortodox, creștinii îl sărbătoresc pe Sfântul Mare Mucenic Gheorghe, purtătorul de biruință
ACTUALITATECOMUNITATERELIGIE

Astăzi, în calendarul ortodox, creștinii îl sărbătoresc pe Sfântul Mare Mucenic Gheorghe, purtătorul de biruință

23 aprilie 2026 Redacția Replica
Licitație de 6 milioane de lei pentru standarde de SuperLigă, la Petroșani
ACTUALITATEADMINISTRAȚIESPORT

Licitație de 6 milioane de lei pentru standarde de SuperLigă, la Petroșani

23 aprilie 2026 Redacția Replica
E scris în stele – joi, 23 aprilie 2026
ACTUALITATEHOROSCOP

E scris în stele – joi, 23 aprilie 2026

22 aprilie 2026 Redacția Replica
Deva se pregătește de 1 Mai – comercianții se pot înscrie pentru eveniment
ACTUALITATECOMUNITATEEVENIMENT

Deva se pregătește de 1 Mai – comercianții se pot înscrie pentru eveniment

17 aprilie 2026 Redacția Replica
PRAGU’ DE SUS, live la Hunedoara – concert cu energie și hituri cunoscute
ACTUALITATEEVENIMENT

PRAGU’ DE SUS, live la Hunedoara – concert cu energie și hituri cunoscute

15 aprilie 2026 Redacția Replica
Deva marchează Ziua Internațională a Conștientizării Autismului printr-un apel la solidaritate și incluziune
ACTUALITATECOMUNITATEEVENIMENT

Deva marchează Ziua Internațională a Conștientizării Autismului printr-un apel la solidaritate și incluziune

2 aprilie 2026 Mirela Popa
Degustarea de meniu Werk Events 2026: experiența care definește standardul unui eveniment reușit
ACTUALITATECOMUNITATEEVENIMENTLIFE

Degustarea de meniu Werk Events 2026: experiența care definește standardul unui eveniment reușit

18 martie 2026 Redacția Replica
ACTUALITATETURISM

Se deschide sezonul de schi la Râușor

11 ianuarie 2023 Monika Baciu

Dacă sezonul nu a avut un start foarte bun pentru că nu a nins, în acest moment mai multe pârtii

Citeste...
ACTUALITATETURISM

O nouă pârtie deschisă în Straja

11 ianuarie 2023 Monika Baciu

Având în vedere zăpada care s-a așternut în ultimele ore, reprezentanții Complexului Montana din stațiunea montană Straja informează că pârtia

Citeste...
ACTUALITATE

Aeroclubul Teritorial Deva așteaptă doritori de senzații tari

11 ianuarie 2023 Monika Baciu

Aeroclubul Teritorial Deva dă startul înscrierilor pentru pasionații de zbor. Astfel toți cei care doresc să învețe să piloteze un

Citeste...
EMISIUNI INFO HDREPLICA TA CU DRAGOS PASCUTA

REPLICA TA CU DRAGOȘ PASCUTA – 11 ianuarie 2023

11 ianuarie 2023 Petru Meszaros

Invitată: dr. Valeria FILIMON, director Serviciul Județean de Ambulanță Hunedoara

Citeste...
EMISIUNI INFO HDÎN LUMINA ADEVĂRULUI

APEL COMPETITIV DE PROIECTE

11 ianuarie 2023 Petru Meszaros

Invitată: Maria ŞTEFĂNIE, inspector școlar general la IȘJ Hunedoara

Citeste...
ACTUALITATEȘTIRI INFO HD

CĂDERI MASIVE DE PIETRE ÎN DEFILEUL JIULUI

11 ianuarie 2023 Petru Meszaros

Drum periculos, mai ales în această perioadă

Citeste...
ACTUALITATEȘTIRI INFO HD

IARNA VINE DINSPRE VALEA JIULUI

11 ianuarie 2023 Petru Meszaros

Deja a fost nevoie de intervenția drumarilor

Citeste...
ACTUALITATEȘTIRI INFO HD

O.U.G. PENTRU AJUTOARELE DE ÎNCĂLZIRE

11 ianuarie 2023 Petru Meszaros

Tichetele vor putea fi folosite din 20 februarie

Citeste...
ACTUALITATEȘTIRI INFO HD

RABLA CU MAȘINI ELECTRICE PENTRU FIRME

11 ianuarie 2023 Petru Meszaros

Bani mai mulți pentru mașinile nepoluante

Citeste...
ACTUALITATEINTERNAȚIONALISTORIERELIGIE

Biserica Anglicană prezintă scuze pentru legături pe care le-a avut în trecut cu sclavia

11 ianuarie 2023 Redacția Replica

Biserica Anglicană a prezentat scuze pentru legături pe care le-a avut în trecut cu sclavia, printr-un organism financiar cu care

Citeste...
ACTUALITATEȘTIRI INFO HD

SE ÎNFIINŢEAZĂ OBSERVATORUL COPILULUI

11 ianuarie 2023 Petru Meszaros

Vor fi identificaţi şi înregistraţi toţi copiii aflaţi în situaţie de risc

Citeste...
ACTUALITATECOMUNITATETRAFIC RUTIER

DN 66A, închis din cauza căderilor masive de zăpadă

11 ianuarie 2023 Monika Baciu

DN 66A este închis din cauza căderilor masive de zăpadă. Mai mulți copaci au fost doborâți pe carosabil. Drumarii intervin

Citeste...
  • ← Anterior
  • Următor →

Stai conectat la ultimele știri cu un simplu LIKE:

Loading...

Site administrat de HD MEDIAPRESS STUDIO SRL, RO32978972, înregistrat la Reg. Com. sub nr. J20/294/2014

INFO HD TV LIVE

Concert „Cargo” la Urban by Werk

Recom SID ANGAJEAZĂ!

OCAZIE UNICĂ PENTRU BUCĂTARI

ESENȚA ÎN SĂNĂTATE – hclinic.ro

Linkuri utile:

I.S.U. Hunedoara

I.P.J. Hunedoara

Spitalul Județean Deva

Casa Județeană de Pensii

Casa Județeană de Asigurări de Sănătate

Locuri de muncă Deva

Arhiva replicahd.ro

arhiva replicahd
Accesati aici arhiva replicahd

Contact

  • Deva | Hunedoara | Romania
  • Telefon: (+40) 254 213 222
  • Telefon TV INFO HD:
  • (+40) 354.410.434
  • Email: infohd20@gmail.com
  • Website: www.replicahd.ro

Copyright © REPLICA & INFO HD TV. Toate drepturile rezervate. Interzisă preluarea de conținut fără specificarea sursei.